なんでっしゃろか?WAIWAI 症例検討会
診断やご意見をあれこれとおねがいします。
症例掲載大歓迎どす(DRサッサーまで)。
症例1(自験例としては初めて)
- 年齢
- 50歳 男子
- 病歴
- 約2年前より、左鎖骨上部の皮膚に腫瘤を生じる。徐々に増大して4cm大になる。
- 現症
- 左鎖骨上部の皮膚に4cm大で表面凹凸があり、触診でやや硬い腫瘤をみとめる。自覚症状はない。同側腋かリンパ節は触知しない。
- 臨床写真
-
症例2
- 年齢
- 70歳 女子
- 病歴
- 数年前より鼻の左横に丘疹を生じる。急速には大きくなっていない。自覚症状はない。
- 現症
- 左鼻唇溝に皮膚色で3mm大のドーム状に隆起する腫瘍。
-
症例3
- 年齢
- 64歳 男子
- 病歴
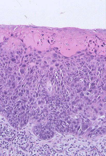
- 昭和63年より、尋常性乾癬で通院加療している。約1年前より陰嚢に潰瘍を生じる。 1997年7月22日に診察時に皮疹を認め、スレンダム軟膏を1週間、テラコート軟膏を1週間、オルセノン軟膏を外用するも改善が認められない。
- 現症
- 陰嚢左側に母指頭大の潰瘍を認める。自覚症状は、あまりない。
- 臨床写真・組織写真
-
症例4
- 年齢
- 4歳 男子
- 病歴
- 約6ヶ月前より、顔面頬部左側に2mm大の皮疹を生じる。
- 現症
- 顔面頬部左側に2mm大で白色でドーム状に隆起する丘疹を認める。弾性は硬。自覚症状はない。
症例5
- 年齢
- 20歳 女子
- 病歴
- 痤瘡でミノマイシン100mg/day約1ヵ月投与後に発症する。
- 現症
- 手指足指末端に色素沈着を生じる。
- 臨床写真